Myasthenia gravis
Myasthenia gravis (MG) je způsobena poruchou v přenosu nervových signálů v oblasti nervosvalové ploténky vyvolanou snížením acetylcholinových receptorů. U MG imunitní systém vytváří proteiny (autoprotilátky),
které napadají vlastní acetylcholinové receptory a blokují je nebo je
dokonce zničí.
Vyskytují se dva různé typy u psů a koček:
Vrozený typ: vrozený nedostatek acetylcholinových receptorů. Tento typse většinou nachází u Jack Russell teriérů, foxteriérů, špringršpanělů a siamskýchkoček. Příznaky často projevují již v 6-8 týdnech věku.
Získaný typ: produkce autoprotilátek proti acetylcholinovým receptorům. Mezi nejčastěji postižená psí plemena patří němečtí ovčáci, Akita Inu, labradorský retrívr, zlatý retrívr, jezevčík, německý krátkosrstý ohař a čivava. U koček má predispozici habešské a somálské plemeno. Nástup onemocnění se často objevuje ve věku 2-3 roky nebo 7-9 let. Příčina tvorby autoprotilátek není dosud známa. Byla popsána také souběžná přítomnost myasthenie s neoplazií (zejména tymom).
• Dysfagie
• Megaesophagus
• Regurgitace
• Aspirační pneumonie
• Akutní svalová slabost
• Dušnost
• Progresivní slabost
• Megaesophagus - rozšířený jícen
• Regurgitace - návrat spolknuté potravy zpět do úst (není zvracení)
• Aspirační pneumonie - zápal plic způsobený vdechnutím vyvrhované potravy
(Megaesophagus nebývá pozorován u vrozeného onemocnění)
Lietratura: Příručka referenčních laboratoří IDEXX. 2016. Referenční laboratoře IDEXX, 5. vydání (233).
Péče o nemocného jezevčíka s Myasthenia gravis:
V té době, kdy naše Hanča onemocněla, nebylo mnoho informací
o této nemoci mezi veterináři a diagnostika se dělala pouze v zahraničí. V
průběhu těch 7, 5 roku, kdy jsme s onemocněním bojovali, se informovanost výrazně
posunula.
První příznaky onemocnění se začaly objevovat po porodu po třetím roce věku. Hanynka začala "ublinkávat" vodu. Napila se, pak jí škrundalo v
hrudníku a voda se vrátila zpět, někdy ji při tomto procesu vdechla a chrčela (přirovnala bych to asi nejblíže k refluxu, i když to reflux není).
První diagnostika se posílala do USA, vyšla negativní. Teprve, když už onemocnění bylo více rozjeté, vyšly v krvi protilátky, které napadají vlastní acetylcholinové receptory, ve vysokém množství. Diagnostia již proběhla v Česku. Hanče se postupem času vracela zpět nejen voda, ale i potrava. Naučila se to zpracovávat v tlamičce, když se potrava vrátila, zpět ji polkla, ale bohužel často i vdechla. Myasthenia se u ní projevovala chronickou formou, měla sice slabší svalstvo u zadních nohou, ale nikdy neměla problém s chůzí, jak je občas popisováno u jiných případů. Možná proto
nereagovala na podávané léky, s těmi je dle literatury v celku dobrá zkušenost u akutní formy.
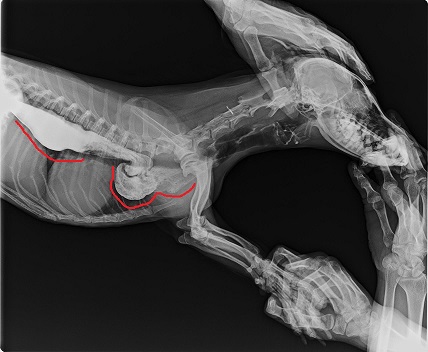
V důsledku toho, že přestane fungovat svalstvo jícnu a u psů není použita gravitace (je uložen vodorovně) dochází k jeho rozšíření a mohou vznikat i hluboké kapsy, kde se jídlo usazuje viz obrázek níže.

Jícen je vodorovná trubice, při Megaesophalu vznikají červeně vyznačené kapsy, kde se hromadí potrava, která se vrací zpět do tlamy. Zdroj: vlastní rentgenový snímek
Abych dosáhla gravitačního účinku při krmení, dávala jsem misku se žrádlem na gauč, takže fenka žrala ve vzpřímené poloze, poté jsem ji ještě držela jako miminko, aby jí potrava gravitací sklouzla do žaludku. Také se používá Bailey Chairs viz obrázek níže.

U Hanynky se Myasthenia projevovala v atacích, takže chvíli byla stabilní poté
atak, kdy jí bylo mizerně a pak zase nějakou dobu lépe. Každý atak jí vždy trochu zhoršil celkovou kondici, takže postupně slábla. Často brala antibiotika z důvodu aspirační pneumonie. Stravu jsem jí mixovala na kaši a nakonec skončila na Nutridrinku, který jsem jí
podávala po malých dávkách každé tři hodiny.
Stále jsem zvažovala, jestli ji nenechat uspat, aby se netrápila. Již
několikrát jsem byla rozhodnuta, ale vždy mě od toho odradila její radost ze života v rámci možností. Měla ohromnou
chuť k jídlu, milovala les (již nelovila, jen pomalé procházky a "čuchání"), měla úžasnou radost, když jsem přišla domů a poté se ode mě už nehnula a vypadala spokojeně. Pozastavovala jsem se nad tím, jak všechny své zdravotní útrapy bere sportovně. Ale s přibývajícími léty jí ubývalo sil. Poslednímu ataku podlehla v nedožitých jedenácti letech u lékaře v mém náručí.
Protože vím určitě o třech trpasličích jezevčících, kteří tímto onemocněním trpěli, rozhodla jsem se napsat pár řádek o průběhu této nemoci, třeba by to mohlo někomu pomoci. Já byla vděčná za jakoukoliv relevantní informaci.
